ورود | ثبت نام
خروج از حساب کاربری
0
سبد خرید
محتویات سبد خرید
جستجو
صفحه نخست
درباره ما
Hot Topics
Endo Tips
ایزولیشن
تهیه حفره دسترسی
آماده سازی، پاکسازی و پرکردن کانال
درمان مجدد غیر جراحی
مدیریت فایل شکسته
خارج سازی POST
ترمیم پرفوریشن
Missed کانال
درمان مجدد جراحی
میکروسکوپ و ارگونومی
Start to Finish
Case Study
سوالات متداول
Course
Held Courses
Upcoming Courses
تماس با ما
4 Year Recall When you can't fit your cone
1403/03/12
بیمار : خانم ۲۲ ساله ( هنگام مراجعه جهت درمان ) با شرایط سیستمیک نرمال از لحاظ پزشکی -- شکایت اصلی بیمار : فیستول باکالی در ناحیه باکال دندان 46
بیشتر بخوانید
4 year Recall Surgical retreatment of my own failure
1403/03/28
بیمار:خانم 27ساله ( درزمان مراجعه جهت درمان اولیه ) فاقد مشکل سیستمیک خاص از لحاظ پزشکی
بیشتر بخوانید
Long and calcified maxillary first molar
1403/04/13
شکایت اصلی بیمار: درد پس از پانسمان دندان سابقه درمان دندانپزشکی: دندان مولر اول ماگزیلا (3#) دو هفته قبل تحت درمان ترمیمی قرار گرفته ولی با توجه به وسعت پوسیدگی، جهت درمان ریشه ارجاع شده است.
بیشتر بخوانید
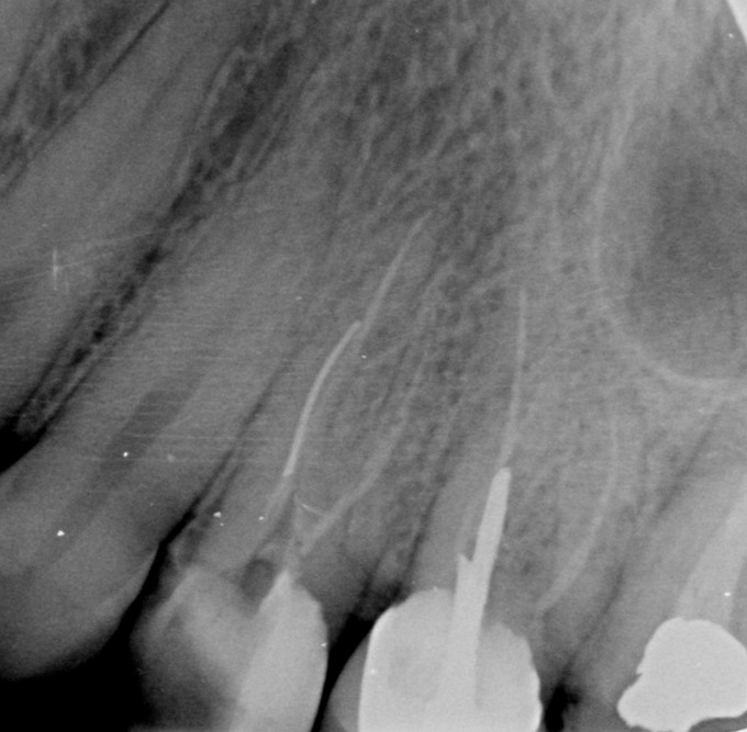
10 year Recall Internal Resorption
1403/03/12
بیمار آقای 35 ساله (هنگام مراجعه جهت درمان) با شرایط سیستمیک نرمال - شکایت اصلی بیمار : درد خود بخود در ناحیه قدام فک بالا و حساسیت به دق در دندان ۱۱
بیشتر بخوانید
Complicated root canal in an anxious patient
1403/03/12
شکایت اصلی بیمار: درد شدید دندان - سابقه درمان دندانپزشکی: دندان های مولر اول و دوم ماگزیلا (3# و 2#) سه سال قبل با آمالگام ترمیم شده اند.
بیشتر بخوانید
3 year Recall (Importance of Post Endodontic Restoration)
1403/04/06
بیمار : خانم ۳۴ ساله با شرایط سیستمیک نرمال شکایت اصلی بیمار : حساسیت به لمس ,دق ودرد خود بخود سابقه درمانهای دندانپزشکی : سابقه درمان ریشه دندان ۲.۴در سالهای پیش
بیشتر بخوانید